Saltar al contenido

Portada » Blog » Hernia Discal

Hernia Discal

Hernia discal

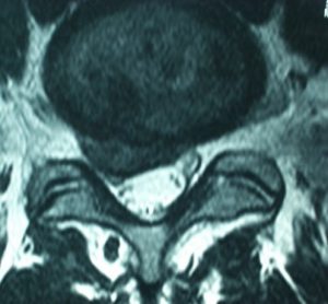
La hernia de disco o hernia discal es una afección de la columna vertebral en la que el núcleo pulposo —el material gelatinoso que se encuentra en el centro del disco intervertebral— sale de su lugar habitual debido a la rotura de la estructura fibrosa que lo contiene. Esta salida del material se produce generalmente hacia el interior del canal raquídeo, donde se encuentran la médula y las raíces nerviosas.

¿Qué no es una hernia discal?

Existe una confusión general entre la población e incluso entre profesionales, al utilizar “hernia discal” para describir cualquier alteración en los discos intervertebrales. Es importante diferenciar una hernia discal real de otros problemas del disco como la deshidratación discal, la disminución de la altura del disco, la estenosis de canal, etc. No todas las alteraciones del disco requieren el mismo tratamiento, y sobre todo, no todas implican la necesidad de una cirugía.

Síntomas de la hernia discal

La sintomatología de la hernia discal depende del nivel de la columna en el que se presenta. Las hernias cervicales pueden dar dolor local, que puede irradiar hacia cráneo, región dorsal alta y miembro superior. Las hernias lumbares pueden causar dolor irradiado a la pierna, lo que comúnmente se conoce como ciática. Sin embargo, no todo dolor irradiado a la pierna es necesariamente una ciática. Los bloqueos en la articulación sacroilíaca, la afectación de ligamentos lumbopélvicos, problemas en las articulaciones vertebrales, alteraciones musculares en la cadena posterior, etc., son cuadros que pueden confundirse fácilmente y llevar a diagnósticos erróneos si no se realiza una evaluación médica adecuada.

En los casos de hernia discal es fundamental valorar el estado neurológico de las raíces afectadas para comprobar la correlación clínico-radiológica y para ayudar a determinar el tipo de tratamiento recomendado en cada caso.

Tratamiento de la hernia de disco

El tratamiento debe ser siempre individualizado y basado en una valoración clínica precisa. En la mayoría de los casos, el tratamiento inicial suele ser conservador, incluyendo el uso de medicamentos, ejercicios terapéuticos, fisioterapia y otras medidas no invasivas. Si no se logra una mejoría con este enfoque, se puede avanzar a una segunda fase que contempla técnicas como infiltraciones, bloqueos radiculares, epidurales, radiofrecuencia, etc.

En nuestra opinión la cirugía debe considerarse en casos donde no se controlan los síntomas con las terapias conservadoras o cuando existen signos de alarma neurológica. Para una hernia discal sin patologías asociadas, la opción quirúrgica más habitual es la extirpación de la hernia mediante microcirugía, aunque pueden existir otras técnicas, según el caso clínico, que deben ser explicadas por el especialista.

Durante la cirugía, lo más frecuente es eliminar pequeños fragmentos del material herniado, aunque es posible encontrar y retirar hernias de gran tamaño.

¿Una hernia discal puede desaparecer sola?

Una pregunta muy común entre los pacientes es si una hernia discal puede reabsorberse espontáneamente. La respuesta es sí. En muchos casos, especialmente en las hernias extruidas y de localización medial, el material del núcleo pulposo puede ser reabsorbido por el organismo. No obstante, este fenómeno es menos frecuente en las hernias contenidas o de localización más lateral. Aunque no se puede predecir con exactitud en qué casos se producirá esta resolución espontánea.

Evaluación individualizada: la clave para un tratamiento adecuado

Es fundamental entender que cada paciente y cada hernia discal son diferentes. No existe un tratamiento universal válido para todos los casos. Por ello, se recomienda una valoración exhaustiva  y minuciosa por parte de un especialista en columna que permita llegar a un diagnóstico preciso y seleccionar la mejor opción terapéutica de forma personalizada.

Pide cita para evaluar tu caso.